Sistema Endocrino
Cartera de servicios a nivel de estudios y exámenes especializados del sistema endocríno.
Captación de Radioyodo
Es un examen de la función tiroidea que mide qué cantidad de yodo radiactivo es absorbido por la glándula tiroides en un período de tiempo determinado. Se complementa con la gammagrafía de la tiroides. Los dos exámenes comúnmente se realizan juntos.

Detalle técnico
Se realiza con Tc99m o con I131, permite valorar la función tiroidea, el yodo queda atrapado desde la sangre y retenido en la glándula tras su organificación.
Con el Tc99m únicamente sufre un fenómeno de atrapamiento (no se organifica, ni se incorpora al metabolismo tiroideo)
Indicaciones:
- Enf. graves: para diagnóstico diferencial con bocio multinodular. Para definir las zona de aumento o disminución dela función tiroidea
- Detectar nódulos: Nódulo hipocaptante o frio, Nódulo isocaptante, Nódulo hipercaptante o caliente, Bocio multinodular.
- Localización de tejido tiroideo ectópico o valorar la funcionalidad del conducto de tirogloso.
- Valorara el hipotiroidismo congénito.
- Valorar masas cervicales o sub esternales.
Prueba de Inhibición Cont 3 y Capacitación

Detalle técnico
Hay también una T3 inversa sin acción biológica que tiene cambiado el sitio de yodación.
La monoyodotyr y diyodotyr que no se acoplan, son desyodadas por una deyododinasa, y el I liberado se usa en una nueva síntesis.
– La tiroglobulina con estas modificaciones es endocitada por la célula folicular. El endosoma se unea lisosomas, cuyos enzimas rompen la proteína originando:
+ T3 + T4 + T3 inversa.
Por último, los productos de digestión pasan a la sangre. De este modo, se liberan T3, T4, rT3 y algo de tiroglobulina.
Detalle técnico
TÉCNICA Se realiza una prueba de captación de radioyodo con control a las 2 horas. A continuación se administra por vía oral 500mg de perclorato de potasio y se controla la captación 2 horas despuéGammagrafía de Tiroides
INDICACIONES
La gammagrafía de tiroides es una prueba de gran utilidad para el estudio de las enfermedades tiroideas, tanto las que modifican la función (hipertiroidismos- hipotiroidismos), como la morfología (nódulos tiroideos- bocios difusos o multinodulares), así como de las tiroiditis agudas, subagudas y crónicas.
Estudia la existencia de áreas, con función aumentada (nódulos de función autónoma) o disminuida (nódulos afuncionales). Las de mayor actividad se denominan “calientes” y las de actividad reducida o anulada “frías”. También estudia las alteraciones en la situación, como los tiroides sublinguales y ectópicos.
Información al paciente: No se requiere ninguna preparación especial. La radiación recibida es mínima.

Detalle técnico
Se realiza con Tc99m o con I131, permite valorar la función tiroidea, el yodo queda atrapado desde la sangre y retenido en la glándula tras su organificación.
Con el Tc99m únicamente sufre un fenómeno de atrapamiento (no se organifica, ni se incorpora al metabolismo tiroideo)}
Indicaciones:
– Enf. graves: para diagnóstico diferencial con bocio multinodular. Para definir las zona de aumento o disminución dela función tiroidea.
– Detectar nódulos: Nódulo hipocaptante o frío, Nódulo isocaptante, Nódulo hipercaptante o caliente, Bocio multinodular.
– Localización de tejido tiroideo ectópico o valorar la funcionalidad del conducto de tirogloso.
– Valorara el hipotiroidismo congénito.
– Valorar masas cervicales o sub esternales.
HIPERPARITOIDISMO (detección de adenomas).
– Estudio de las glándulas suprarrenales.
– Cáncer de tiroides: tratamiento con I -131 y rastreo corporal total.
Rastreo de Tejido Tiroideo
Rastreo de tejido tiroideo con I-131 en cáncer diferenciado de tiroides / Whole body scans with I-131 in differentiate cancer of thyroid.

Detalle técnico
Es el seguimiento del cáncer diferenciado de tiroides, la eliminación de los restos tiroideos que pudieran quedar tras la cirugía.
Pueden aparecer en cuello, pulmón, hueso, hígado y mediastino.
Este estudio detecta estas metástasis después de la cirugía.
Administración de IODO131
El yodo radiactivo I-131 ha sido usado tanto para el diagnóstico como tratamiento en patología tiroídea por más de 50 años a la fecha, constituyéndose en uno de los procedimientos más antiguos y con mayor experiencia en Medicina Nuclear.
El I-131 es un isótopo radiactivo, emisor tanto de partículas beta como de radiación gamma, con una vida media de 8,04 días. El principio básico que justifica su uso en terapia es la propiedad fisiológica única que posee la glándula tiroides de concentrar dicho elemento. De este modo se entrega en forma local y dirigida una alta dosis de radiación en el tejido tiroídeo funcionante respetando el resto del organismo.

Detalle técnico
Este protocolo propone dar una dosis que permita irradiar el tumor en su máxima dosis. Pero sin llegar a producir mielo de presión.
Utiliza dosis fijas que varían solo en función de la localización de las metastais.
Gammagrafía de Parótidas
Las glándulas salivares son fundamentalmente tres pares: parótidas, submaxilares y sublinguales, que tienen la misión de producir y secretar la saliva.
La exploración con isotopos, permite su estudio morfofuncional simultaneo de forma sencilla e inocua. El paciente estará en ayunas, administrándole el trazador (Pertecnetato de Tc99m) por vía intravenosa. Durante el primer minuto, puede realizarse un estudio dinámico, obteniéndose imágenes durante un tiempo aproximado de una hora.

Detalle técnico
Es una prueba de gran utilidad para el estudio de litiasis de conductos excretores, tumor de Warthin, quistes, sialoadenitis y síndrome de Sjögren.
Gammagrafía Planar Tomografía de Tiroides

Detalle técnico
Es un examen de que utiliza un marcador de yodo radiactivo para evaluar la estructura y el funcionamiento de la glándula tiroides. Este examen a menudo se hace junto con un examen de captación de yodo radiactivo.
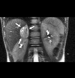
Detección de Adenomas Paratiroideas
Adenoma paratiroideo ectópico mediastinal. Diagnóstico por sonda de detección gamma y resección por videotoracoscopia.

Detalle técnico
HIPERPARITOIDISMO (detección de adenomas)
Estudio de las glándulas suprarrenales.
Cáncer de tiroides: tratamiento con I -131 y rastreo corporal total.
Detección de Feocromocitoma MIBGI131
Detección de tumores renales, para la localización de tumores derivados de la cresta neural y para el tratamiento de feocromocitomas malignos.

Detalle técnico
La metaiodobenzilguanidina marcada con I 131 (MIBG I131) es un análogo estructural de la hormona adrenérgica norepinefrina que se utiliza para la localización de tumores derivados de la cresta neural y para el tratamiento de feocromocitomas malignos.
Aunque el número de pacientes tratados es pequeño, en la literatura revisada se dispone de datos acerca de la inducción de remisiones objetivas y de la reducción de la actividad hormonal, consiguiendo respuestas sintomáticas. Sin embargo, la reducción del tamaño tumoral sólo se ha descrito en algunas ocasiones y casi nunca en presencia de metástasis óseas.
Gammagrafía y Captación Tiroides
Es un examen de la función tiroidea que mide qué cantidad de yodo radiactivo es absorbido por la glándula tiroides en un período de tiempo determinado. Se complementa con la gammagrafía de la tiroides. Los dos exámenes comúnmente se realizan juntos.

Detalle técnico
Se realiza con Tc99m o con I131, permite valorar la función tiroidea, el yodo queda atrapado desde la sangre y retenido en la glándula tras su organificación.
Con el Tc99m únicamente sufre un fenómeno de atrapamiento (no se organifica, ni se incorpora al metabolismo tiroideo)
Indicaciones:
– Enf. graves: para diagnóstico diferencial con bocio multinodular. Para definir las zona de aumento o disminución dela función tiroidea.
– Detectar nódulos: Nódulo hipocaptante o frío, Nódulo isocaptante, Nódulo hipercaptante o caliente, Bocio multinodular.
– Localización de tejido tiroideo ectópico o valorar la funcionalidad del conducto de tirogloso.
– Valorara el hipotiroidismo congénito.
– Valorar masas cervicales o sub esternales.
Catálogo de
Exámenes
Revisa las otras categorías de nuestro catálogo de exámenes y estudios especializados de imágenes para el diagnóstico y tratamiento.